Smile Gallery

An improved smile can be life-changing for our patients.
But why tell you, when we can show you?
Check out the amazing smile transformations that happen every day here at Southwest Nebraska Dental Center.
 
 
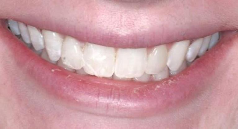
Patient was missing front tooth and did not like the look. We placed a bridge to replace the missing tooth.
 
 
Patient had small lateral incisors that she did not like. We placed veneers to restore the laterals to proper shape and form.
 
 
Patient had decay and had a hard time keeping teeth clean. We placed crowns to protect the teeth.
 
 
 
 
Patient had white spot on lower tooth after having braces. Restored tooth with no anesthesia using ICON resin infiltration.
 
 
Patient had severely decayed upper teeth and build up on bottom teeth. After a deep cleaning we restored the top teeth with crowns.
 
 
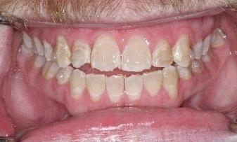
Patient had severely decayed teeth due to drinking pop all day. We restored her to health with crowns, fillings, and an upper partial.
 
 
Patient did not like the space in between her front teeth. We did veneers on the front two teeth to bring them into alignment and to close the gap.
 
 
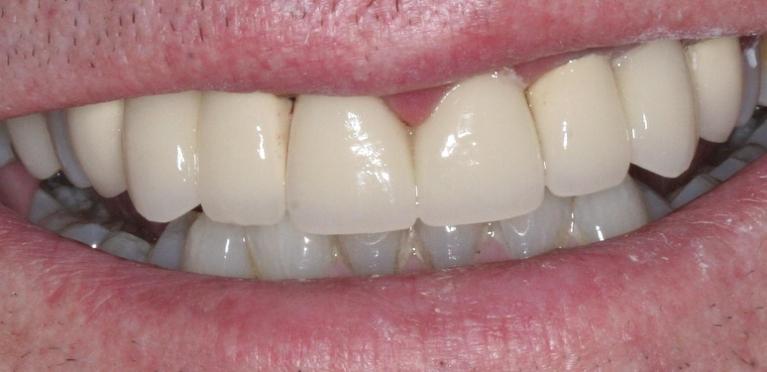
Patient did not like how crooked his teeth were and his retained baby tooth. He was not interested in braces. We restored his teeth with a combination of crowns and bridges.
 
 
Patient came to us wanting to fix her smile. We restored her smile with fillings, root canals, and crowns.
 
 
 
 
 
 
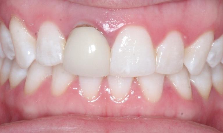
Patient came to us not liking the appearance of her front teeth, especially the existing crown she had. We replaced the porcelain and metal crown as well as crown the tooth next to it with full porcelain crowns.
 
 
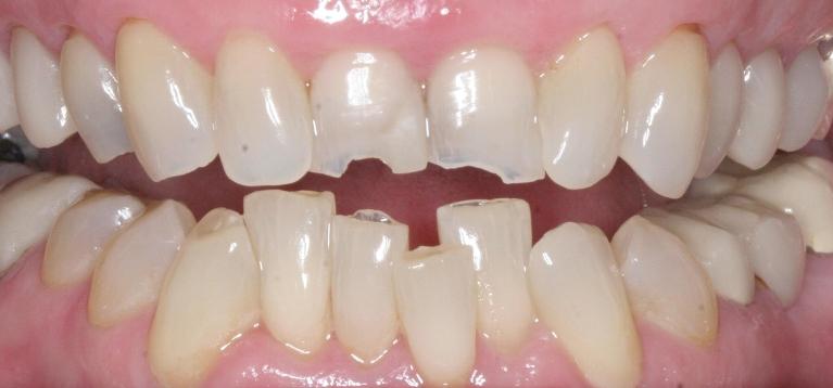
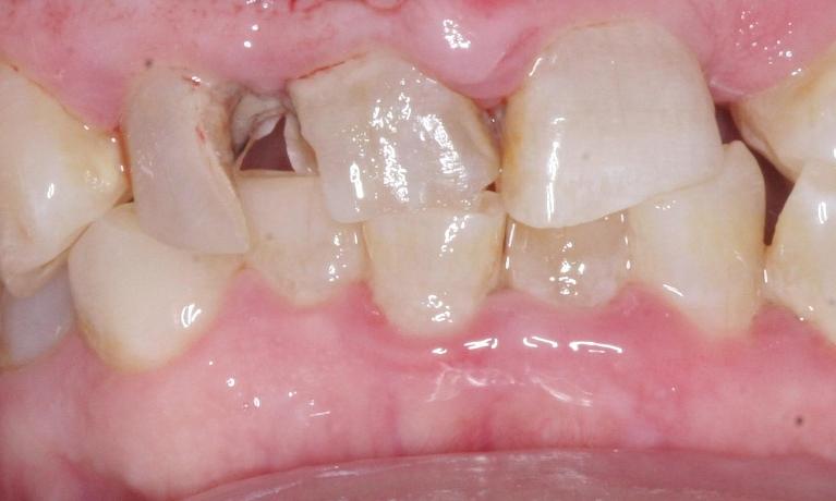
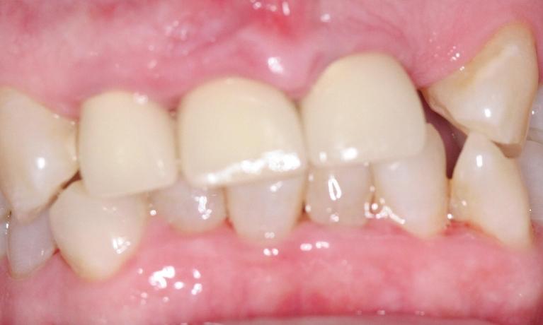
Patient did not like the chipping of her front teeth. We placed crowns on the front teeth to protect them from further chipping and to restore her beautiful smile.
 
 
Patient did not like how her front teeth were broken, decayed and discolored. We were able to restore and protect them with crowns.
 
 
Patient presented with congenital white spot on upper front tooth. It always bothered him. Using ICON resin infiltration we were able to eliminate the white spot.
 
 
Patient did not like the brown spots on their front teeth. In office whitening in conjunction with fillings on the front two teeth were done to restore the smile.
 
 
Patient present having not seen a dentist in several years and had painful bleeding gums. We completed scaling and root planing along with laser treatment. Her gums are not healthy and no longer are painful.
 
 
Patient had deep grooves and was at risk for development a cavity due to food and plaque adhering to grooves. Filling in the grooves with sealants prevents decay from developing in these hard to reach areas.
 
 
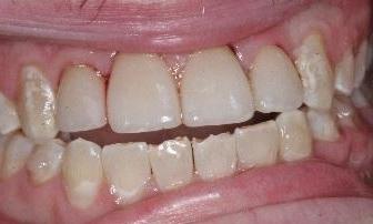
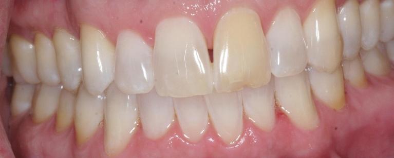
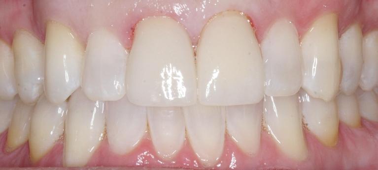
Patient did not like the color, space or chipping of his front teeth.  Teeth were whitened, then
crowns were placed to protect front teeth from further breakage and to close the gap.