Root Canal Therapy

Most people cringe when they hear the words “root canal.” However, the term “root canal” actually describes the portion of your tooth that houses the nerve and surrounding tissue.
When the root canal is healthy, your teeth feel fine and function perfectly. But if this tissue inside the canal becomes infected due to neglect or injury, the result is swelling and inflammation. This in turn puts pressure on the nerve inside the tooth, causing pain and discomfort.
The symptoms of a root canal infection are often hard to ignore and may include the following:
- A toothache that becomes worse when pressure is applied to the tooth
- Severe pain when chewing or biting
- Unusual sensitivity to hot or cold foods and liquids
- Darkening or discoloration of the tooth
- Swelling of the gum tissue surrounding the tooth
- A dull, aching sensation
Don’t Wait – Call Now!
If you are experiencing any of the above symptoms, it’s probably time to schedule an appointment with Dr. Haag at our McCook dental office. We often have same-day emergency appointments available, so don’t suffer in pain for longer than you have to!
Once an infected tooth is properly treated, you can get back to living a pain-free life. Because our ultimate goal is to prevent tooth loss and help you retain your natural teeth, the sooner we treat you, the more likely you are to avoid an extraction.
The Procedure
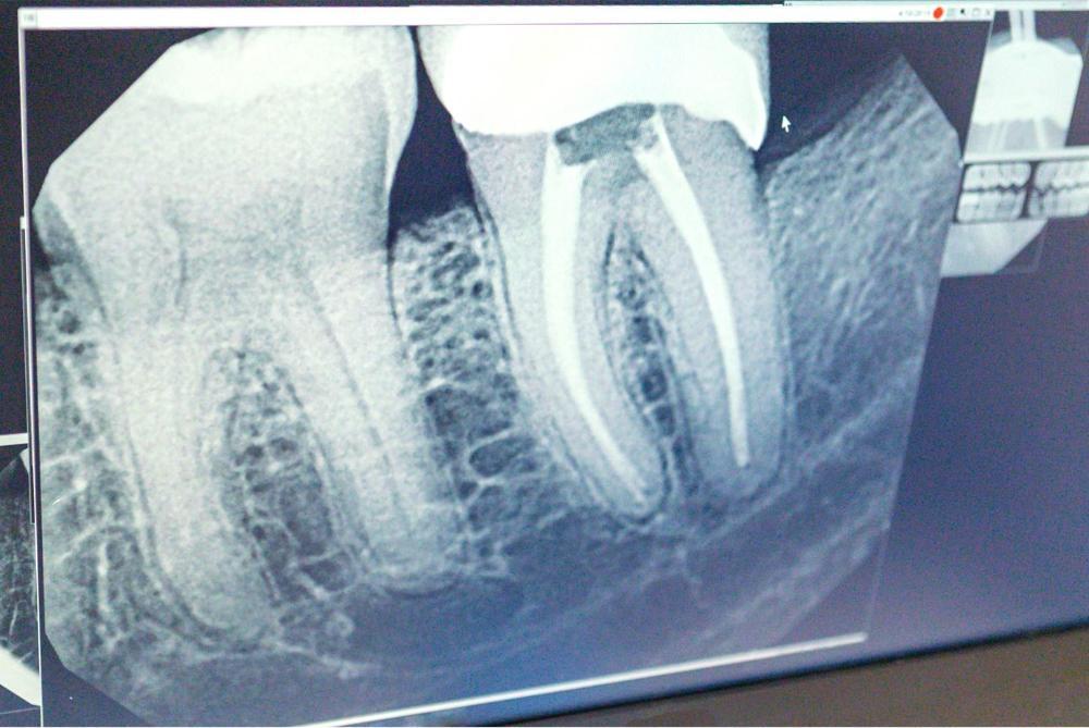
When you arrive at our office, Dr. Haag will perform a visual inspection and take x-rays to determine if the root canal is infected. If it is, a root canal treatment is in order.
First, we use a local anesthetic to numb the tooth and surrounding area. The infected nerve and pulp are then gently removed from the tooth using precision instruments. After the tooth is completely cleaned out, medication may be placed inside the tooth to destroy any remaining bacteria.
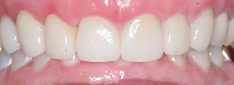
Once we are satisfied that there is no longer any sign of infection, we fill the tooth using a special sealant. A crown is placed over the exterior of the tooth to restore the functioning of the tooth and prevent further damage.
Thanks to CEREC technology, the crown can be created right here in our office and placed on the same day, eliminating the need for a return trip to the dentist. In addition, your crown is customized to perfectly match your own teeth, so it looks and functions just like a normal tooth.
What to Expect
A root canal treatment is a surprisingly simple and painless procedure. In fact, if you currently have an infection, the pain and discomfort you’re experiencing now is likely far worse than anything you’ll undergo in the dentist’s chair. Most importantly, once the infection has been removed, your body will quickly begin the healing process.
Please contact the us right away if you’re experiencing the symptoms of a root canal infection. Patient care and comfort is our top priority, and we want to help you maintain a happy, healthy smile for years to come.