Treatment of White Spot Lesions-ICON
How can Icon resin infiltration help remove white spots on teeth?
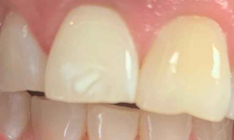
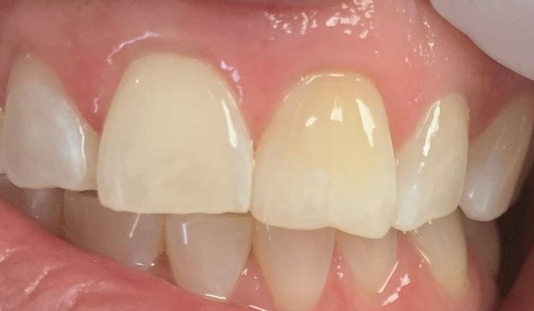
White spots on teeth are quite common, particularly for patients who undergo orthodontic treatment. When discoloration appears, resin infiltration with Icon can be an effective treatment for removing white spots on teeth. Dental resin infiltration is a gentle method for counteracting white spots, which works by filling in the spots where the tooth has become porous and discolored with the existing, healthy enamel of the tooth. This innovative method is often used in the treatment of front teeth, where aesthetic appearance is particularly important.
Icon offers numerous benefits, including:
- Pain-free
- Involves no drilling
- Performed in-office
- Prevents dental cavities at an early stage
- Preserves healthy tooth structure
- Gentle therapy for difficult-to-reach proximal cavities (caries located in between teeth)
- No unnecessary loss of healthy hard tissue or invasive drilling much less invasive and less expensive than the alternatives of fillings or veneers
- Can be done sooner than other cosmetic options like veneers that you have to wait until growth is complete
- Can whiten afterwards
* Key talking point * This is a treatment we offer to help fade the appearance of WSLs & hypo spots. We can not guarantee the spot will disappear completely, but in most cases it provides a significant cosmetic improvement in one simple, painless visit. Worse case scenario – there’s no change in appearance, but at least nothing irreversible or invasive has been done to the tooth.