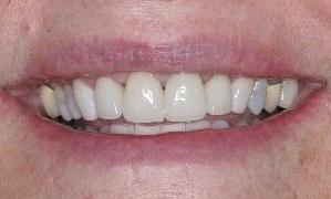
This patient had been coming into our office for several years and had existing crowns, but was not happy with the color. After whitening, we replaced her existing crowns, which had metal understructure, with all aesthetic, all porcelain crowns. She is happy and has a lovely smile!
 
