Scaling and Root Planing
 Almost half of America’s adults above the age of thirty have some form of periodontal disease, also known as periodontitis or, simply, gum disease.
Almost half of America’s adults above the age of thirty have some form of periodontal disease, also known as periodontitis or, simply, gum disease.
Gum disease can not only negatively impact your oral health, but has also been linked to the development of other medical problems such as heart disease, strokes, and diabetes. Periodontitis ultimately weakens the bone that supports your teeth, increasing the likelihood of tooth loss.
What Is Periodontal Disease?
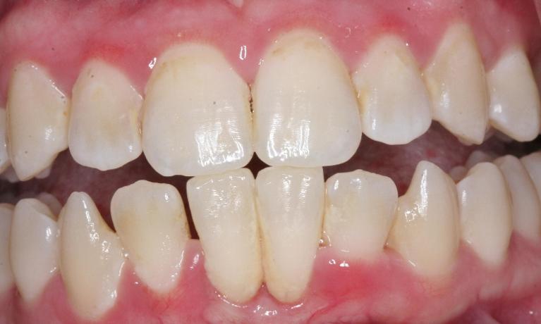
Periodontal disease begins as gingivitis, an inflammation of the gums caused by the buildup of bacterial plaque and tartar along the gum line. Signs of gingivitis include:
- Redness and swelling
- Bad breath
- An unpleasant taste in the mouth
- Bleeding gums, especially after brushing and flossing
How Is Periodontal Disease Treated?
In its earliest stages, periodontal disease can often be stopped – and even reversed – with simple improvements to your home hygiene routine. We’ll review good brushing and flossing technique with you to make sure you are cleaning beneath the gum line and between your teeth.
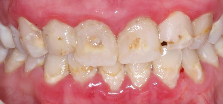
If gingivitis has progressed beyond the beginning stages, we’ll likely recommend what’s known as a “deep cleaning.” As the name implies, this involves a thorough cleaning of the deep pockets of infection that form between the teeth and gums as a result of periodontitis.
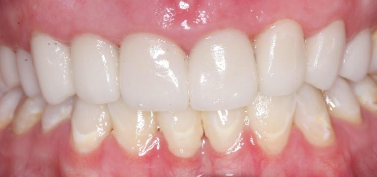
During a deep cleaning, bacteria, tartar, and plaque are removed through the processes of scaling and root planing. Scaling and root planing not only stop the progression of the disease, they actually work to reverse the damage already caused by the accumulation of bacterial plaque.
An examination performed by McCook dentist Dr. Kaitlin Haag will determine if a deep cleaning is necessary. If this is the case, the dental hygienist begins with the scaling process. Using sonic vibrations, an ultrasonic device loosens and removes tartar and plaque from the tooth surface and underneath the gum line. A hand instrument known as a scaler is then used to manually remove any remaining deposits.
The goal of root planing is to smooth out rough areas on the root of the tooth. This procedure reduces inflammation of the gums and prevents further infection by removing the deep grooves and crevices where bacteria can easily “hide” and multiply.
Scaling and root planing, if performed in time, will prevent the need for more intensive procedures, such as gum surgery or Laser Periodontal Therapy.
 How Can I Prevent the Progression of Periodontal Disease?
How Can I Prevent the Progression of Periodontal Disease?
Practicing good oral hygiene following a deep cleaning is absolutely essential. Without proper dental care, gum disease will return and progress. Remember to schedule an appointment every six months for a check-up and professional cleaning at Southwest Nebraska Dental Center.
Be aware that certain factors may increase your risk of developing gum disease, including:
- Smoking or use of other tobacco products
- Poor nutrition
- Age
- Certain medications, such as antidepressants and birth control
- Decreased immunity
- Genetic predisposition
- Hormonal shifts or imbalances
If you’re noticing the symptoms of gum disease, please schedule an appointment at our McCook dental office right away. While brushing and flossing daily go a long way towards preventing gingivitis and periodontal disease, nothing can replace the benefits of a professional dental cleaning.
 
 
 
 
 
 
