Dentures and Partials

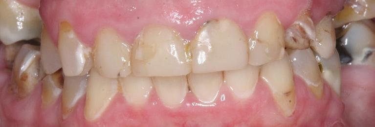
If you’re missing several or all of your teeth, you already understand the negative impact this condition can have on your quality of life and self-esteem.
As tooth loss progresses, activities you normally take for granted, like speaking and chewing, become more difficult. Without the structural support provided by your natural teeth, your facial features begin to sag, making you look older.
What you may not know is how missing teeth can affect your overall health. Because certain foods become off-limits, you may suffer from nutritional deficiencies. And as your remaining teeth realign, your bite shifts, resulting in joint paint or even osteoarthritis of the jawbone.
What Are Dentures?
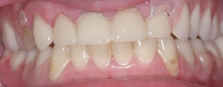
Dentures are a practical, affordable solution to the problems created by missing teeth. When people envision dentures, they often imagine the bright white, clunky looking “false teeth” floating in the water glass on grandma’s nightstand.
Thanks to advances in esthetics and technology, today’s dentures have an incredibly realistic appearance that closely mimics your natural teeth and enhances your facial features. Each denture is individually designed to fit comfortably and securely, avoiding the possibility of embarrassing slips and preventing the development of painful sores in the mouth and on the gums.
Partial and Full Dentures
Partial dentures consist of a series of replacement teeth attached to a metal or acrylic framework. They are used when some, but not all, of the teeth are missing. Partial devices can also be created to replace an old denture that fits poorly or is damaged.
Complete (full) dentures are required when all of the teeth in the upper or lower arch are missing, usually due to multiple extractions or advanced tooth decay. As with partial dentures, proper fit is crucial to preventing further dental problems down the road.
What Can I Expect from My New Dentures?
Although McCook dentist Dr. Kaitlin Haag customizes each denture to look and feel as natural as possible, an adjustment period is to be expected as you get used to your new prostheses.
You may initially experience minor irritation or soreness as the muscles in your jaw and mouth become accustomed to the denture; this will disappear after time. If a problem persists, a follow-up visit may be necessary to make adjustments.
How Do I Care for My Dentures?
Even if you have full dentures, practicing good oral hygiene is essential to maintaining a healthy mouth. Thorough cleaning prevents the buildup of plaque and discourages bacterial infections.
Brush your dentures, along with your gums, tongue, and the roof of your mouth, with a soft-bristled toothbrush every day. Protect your dentures when you’re not wearing them by keeping them in their case, covered with lukewarm (not hot) water. This prevents warping and cracking.
Remember to schedule regular appointments with Dr. Haag to inspect your dentures for signs of damage.
Don’t suffer from the limitations and embarrassment of missing teeth. Call Southwest Nebraska Dental Center to determine if dentures are right for you.
