Accessible Version
SW Nebraska Dental Center
Need to schedule an appointment? Call or text us at (308) 345-2273, email us at office@swnebraskadental.hush.com, or schedule online by clicking the "Schedule Online" button!

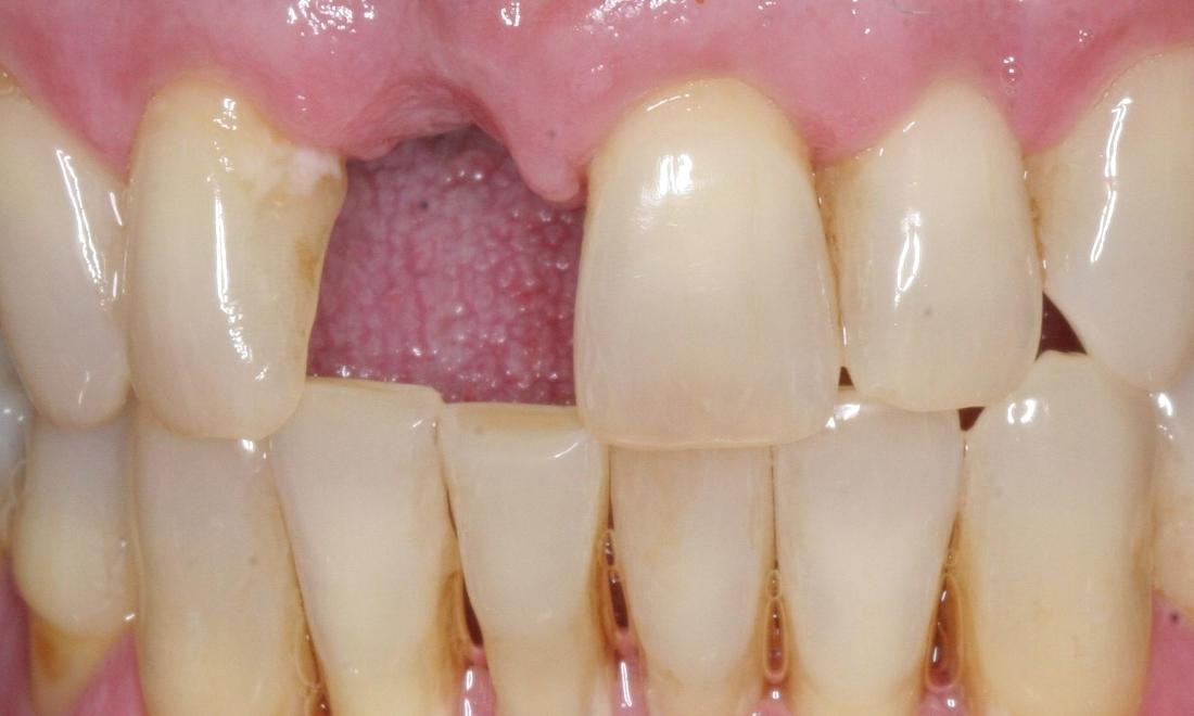
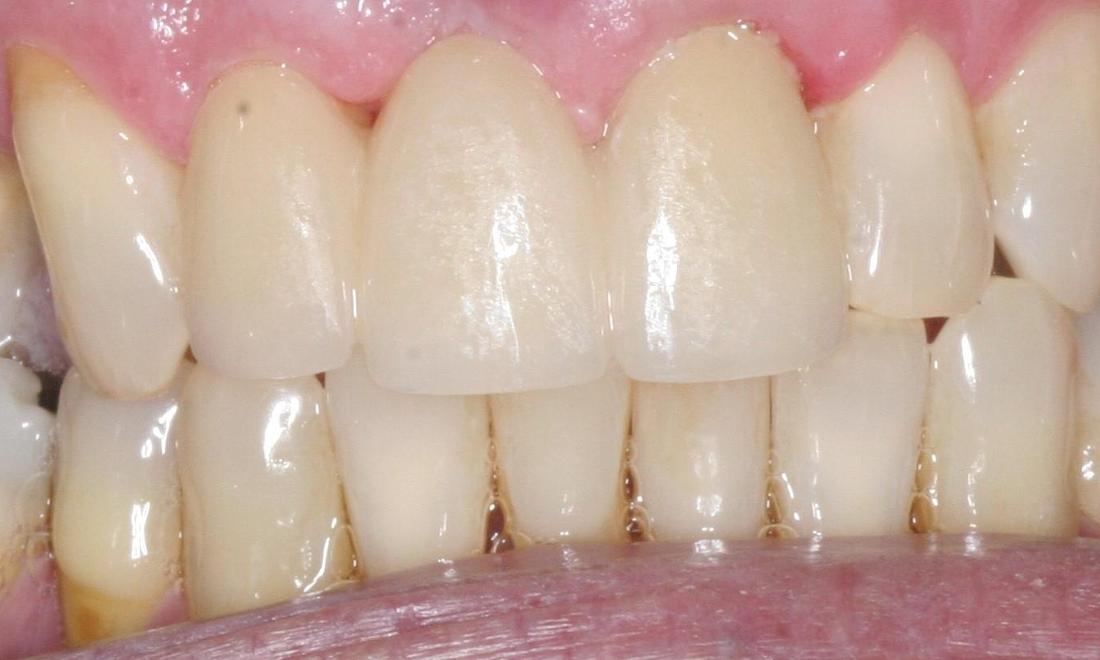
Porcelain Bridge

Patient was missing front tooth and did not like the look. We placed a bridge to replace the missing tooth.

Related Services:

Crowns & Bridges
Ready to book an appointment?
If you have difficulty using our website, please email us or call us at (308) 345-2273
View the ADA Accessibility Statement