Accessible Version
SW Nebraska Dental Center
Need to schedule an appointment? Call or text us at (308) 345-2273, email us at office@swnebraskadental.hush.com, or schedule online by clicking the "Schedule Online" button!

Porcelain Veneers

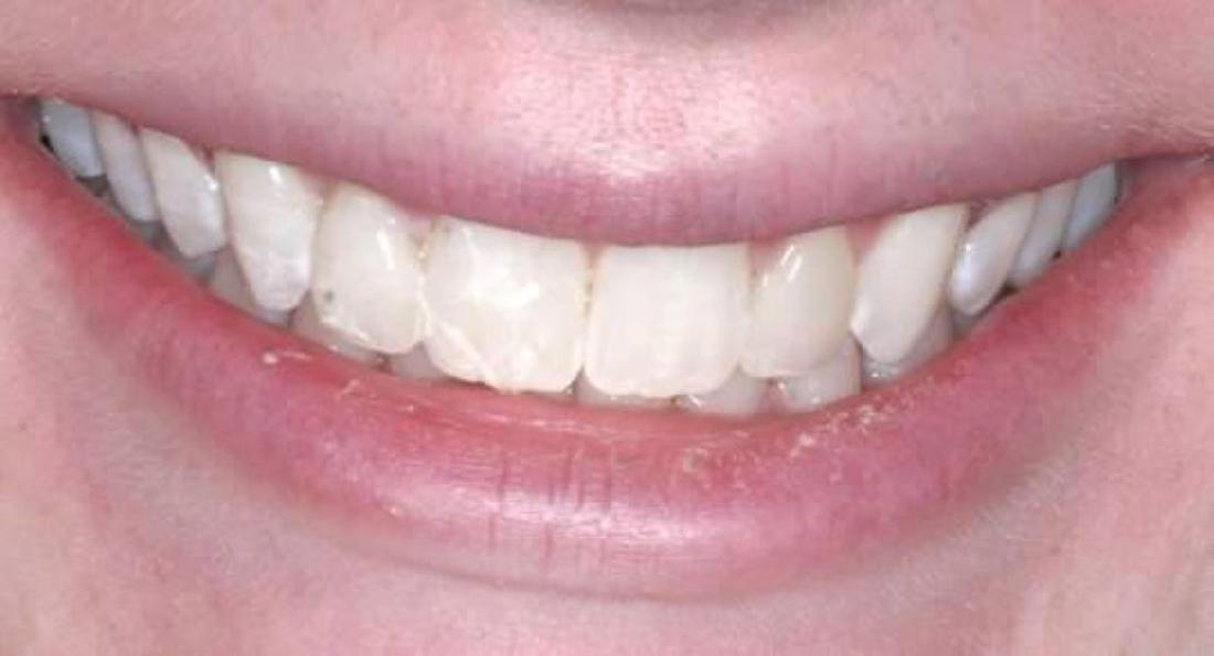
Patient had small lateral incisors that she did not like.  We placed veneers to restore the laterals to proper shape and form.

Related Services:

Porcelain Veneers
Ready to book an appointment?
If you have difficulty using our website, please email us or call us at (308) 345-2273
View the ADA Accessibility Statement