Accessible Version
SW Nebraska Dental Center
Need to schedule an appointment? Call or text us at (308) 345-2273, email us at office@swnebraskadental.hush.com, or schedule online by clicking the "Schedule Online" button!

Scaling and Root Planing

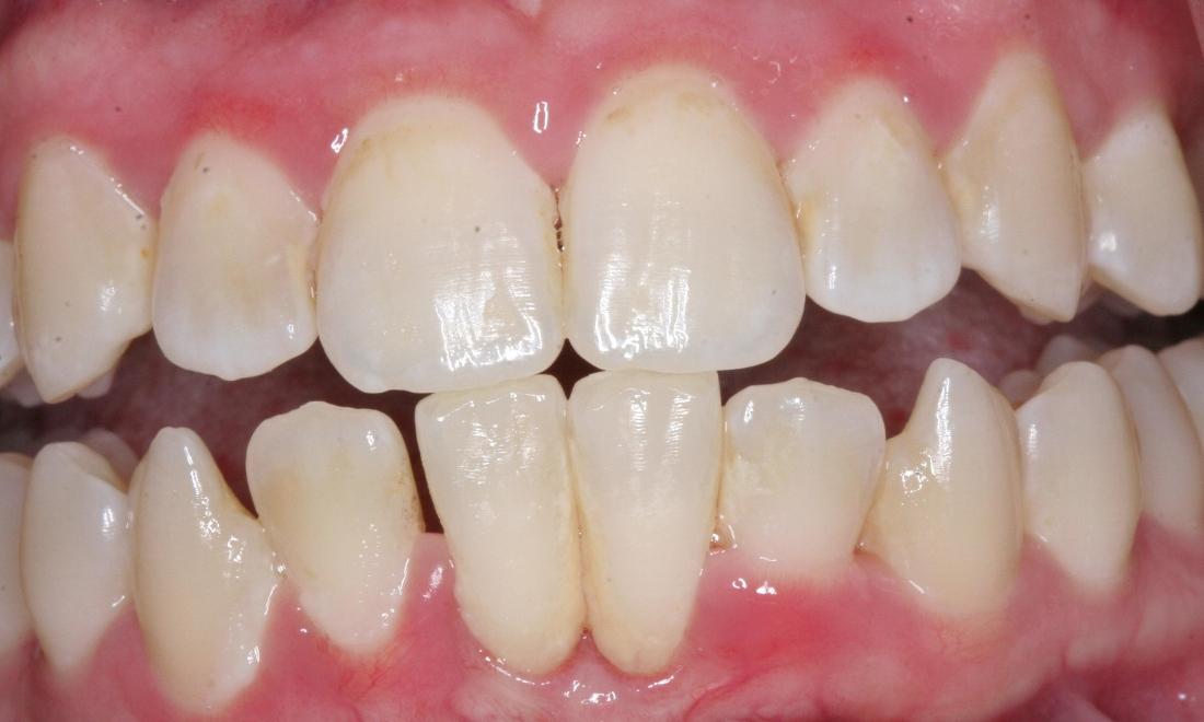
Patient present having not seen a dentist in several years and had painful bleeding gums. We completed scaling and root planing along with laser treatment.  Her gums are not healthy and no longer are painful.

Related Services:

Scaling and Root Planing
Ready to book an appointment?
If you have difficulty using our website, please email us or call us at (308) 345-2273
View the ADA Accessibility Statement