Crowns & Bridges
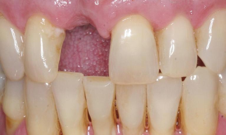
Whether you’re missing one tooth or several, gaps in your smile can negatively impact everything from your self-esteem to the enjoyment of your favorite foods. In addition, missing teeth can lead to a host of other dental problems that can ultimately result in more tooth loss.
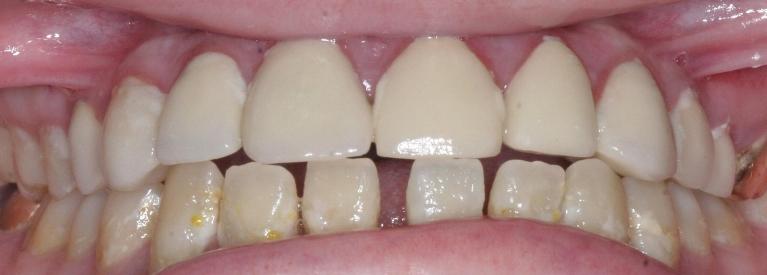
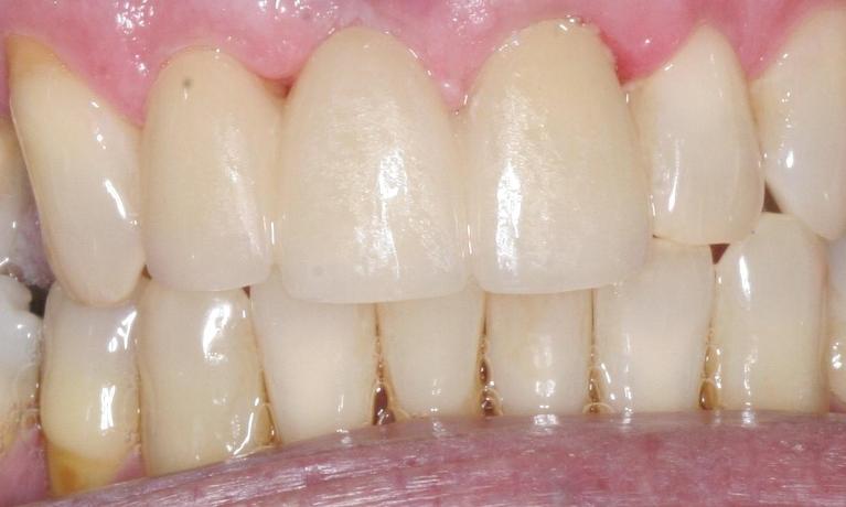
Crowns and bridges are a permanent solution to the problem of damaged or missing teeth. At Southwest Nebraska Dental Center, we can create a dental restoration that will not only improve your overall oral health, but will also look and function just like your natural teeth. 
What Is a Dental Crown?
A dental crown is essentially a tooth-shaped cap that is placed over a damaged or misshapen tooth to protect the underlying structure and restore its normal functioning and appearance. We may place a crown for the following reasons.
- To protect the tooth following a root canal
- To cover a tooth that is excessively worn, damaged, or discolored
- To repair a tooth with extensive decay
- To provide structure and stability for a dental implant system
What Is a Dental Bridge?
Dental bridges are another method used to span a gap created by missing teeth. A permanent bridge is a versatile option consisting of one or several realistic artificial teeth called “pontics”. These replacement teeth are held in place using crowns that are affixed to either the neighboring teeth or a dental implant. The bridge provides stability and prevents further shifting of the remaining teeth while also improving your smile.
We believe that dentistry is as much an art as it is a science. All of the crowns and bridges we place in our office look incredibly lifelike because the restorations are individually created and custom fitted to blend perfectly with your existing teeth. Once placed, no one will ever know you’ve had dental work.
How Do I Care for My Dental Restorations?
While the porcelain structure of the crown or bridge is not susceptible to tooth decay, it's important to recognize that the natural tooth structure beneath the restoration is still vulnerable. Proper oral hygiene is still necessary to avoid gum disease and cavities in the the tooth structure under the restoration as well as in neighboring teeth. Brush and floss daily just as you would your normal teeth.
Our restorations are strong and durable, but can still suffer damage if exposed to excessive force, such as that caused by biting down on a foreign object. Crowns and bridges that become cracked or dislodged require immediate attention, so contact Dr. Haag can diagnose right away if a problem develops. Remember to schedule regular visits for cleanings and exams so that we can inspect your restorations for signs of damage.
Don’t suffer from the embarrassment or limitations associated with missing teeth. Contact Southwest Nebraska Dental Center in McCook to schedule an appointment. An improved smile is just a phone call away!